10/5/2023 Ectopic Pregnancy

You are working in EM2.

EMS rooms a new patient, and you swing by to catch the end of report and hear that they brought in a 26-year-old female with abdominal pain from home.

Initial vitals:

HR 110, BP 105/70, RR 21, SpO2 99%, Temp 36 C

You enter the room and find a young woman lying in bed clutching her abdomen. She is anxious and unable to find a comfortable position in bed.

A: Intact

B: Bilateral breath sounds

C: Peripheral (pedal) pulses normal

You ask the nurse to work on getting an IV (and ideally a second after that), place the patient on the monitor and start a 1L bolus of LR given her tachycardia and borderline hypotension.

You begin to interview the patient. She is speaking in full sentences and states that she was eating at Subway and began to have severe left lower abdominal pain, which she has never had before. She vomited one time since the onset of pain. She reports normal bowel movements today. No recent fevers but she has been cold since the onset of pain. PMHx: asthma. Meds: albuterol. All: None. SH: No drugs, alcohol or tobacco. Fam Hx: None

What is your differential at this time?

- Very broad

  • Common: UTI, PID, dysmenorrhea, gastritis, biliary colic, renal/ureteral stone

  • Less common in a patient this age: femoral hernia, diverticulitis

  • Don’t want to miss: appendicitis, ovarian pathology including torsion or tubo-ovarian abscess, pregnancy including ectopic, pancreatitis.

  • Rare: ovarian hyperstimulation syndrome, toxic shock, Fitz-Hugh-Curtis

    syndrome, cannabis hyperemesis (ok, not that rare)

  • Unlikely given her age and lack of risk factors, but keep in mind if things deteriorate: aortic pathology, atypical ACS, trauma, toxic ingestion.

What do you want to do?

- Labs:

  • CBC, CMP, lipase, ECG (for tachycardia), urine hCG

- Imaging:

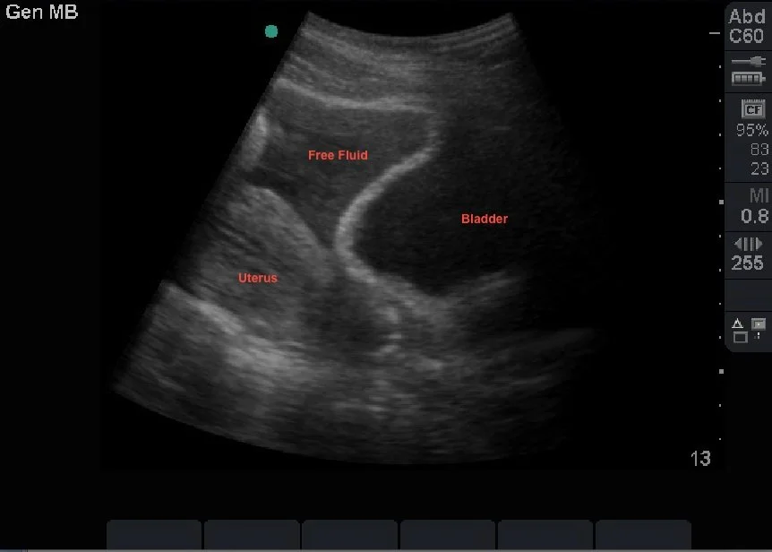
  • POCUS can be super helpful here. It would be reasonable to start with a FAST to assess for free fluid. Also take a look at her uterus to assess for evidence of pregnancy, and her ovaries for cysts or ectopic pregnancy

- Treatment:

  • Reassess vitals after fluids, consider switching to blood if there is high suspicion for a hemorrhagic source of hypovolemia

  • Analgesia: Be thoughtful about this. We are still unsure if she is pregnant or bleeding, so Toradol should be avoided. Tylenol might not be adequate of fast enough. This would be a reasonable time for a dose of IV opioid medication while you’re figuring out what is going on (morphine or fentanyl depending on the severity). You might also consider droperidol, especially if she is nauseated.

Uh-Oh. Your FAST exam is positive for free fluid around the bladder and in the RUQ.

https://med.emory.edu/departments/emergencymedicine/sections/ultrasound/case-of-the month/trauma/fluid_in_the_pelvix.html

Despite your 1L bolus, the patients BP has dropped to 90/60 mmHg and her HR is now 125 bpm. At this point you have an unstable patient who is bleeding into her abdomen. Your most likely source is a ruptured ectopic pregnancy.

Actions:

- You ask a different nurse or tech to run to TCC and pull uncrossmatched blood from the refrigerator. You then activate MTP because you anticipate the requirement of further product administration

  • Don’t forget to administer calcium with MTP!

- You send a type and screen such that future blood can be prepared, as well as coagulation studies

- Urgent consult to OB, making sure to include the unstable vitals and concern for ruptured ectopic in your “one-liner”

- Unfortunately, the patient has been unable to provide a urine sample, so you have not been able to confirm a hCG level. You can (and should) send a blood quantitative level, but this will also take some time to result. Placing a foley to obtain urine may be difficult in this patient. One creative option may be to run the POC urine hCG test on a blood sample (yes, ask the nurse to dip the POC urine strip into blood instead of urine). This is certainly not a validated measure and should not be used to substitute a validated test, but may provide helpful real-time data for this critical patient (see end of write-up for further discussion)

- Administer Rhogam if Rh negative

- Consider moving the patient to trauma critical care (TCC). Discuss this with your attending and bedside nurse. You should consider the resource demand of this single patient on the nurse and entire pod as well as equipment availability and room capabilities

Your patient responds to the initial units of blood. OB arrives quickly, agrees with your assessment and takes the patient to the OR. Of note, depending on the stability of the patient, OB can take patients to the Trauma OR housed closer to the ED instead of the long and treacherous journey to their normal OR in Parkview Tower.

Latent safety threats identified while performing this simulation:

- Curvilinear probe was not present on the ultrasound machine

  • This is very frustrating, but we are EM physicians and have to roll with the punches. Grab the cardiac probe and see what you can see. Then send the MRN of this case to the chiefs and EM Operations team so we can build a case for better equipment

- Make sure to ask for readback and confirmation with your verbal orders. This is especially important in a critical and unstable patient

- Be cognizant of your available resources, especially when it comes to staff. If you only have one bedside nurse, request more support. There should be a charge nurse to help or at least rally more troops. If you have a single bedside nurse, they will be unable to pull meds, administer meds, obtain access, run to get blood, etc.

- As discussed above, the POC hCG tests are designed to test urine and serum, but you may attempt to run this test with whole blood based on a published a study by Fromm et al. (2012) and Gottlieb et al. (2016). Both groups found similar sensitivity and specificity when comparing their POC hCG tests used with whole blood versus urine samples from the same patients.

References:

1. Fromm C, Likourezos A, Haines L, Khan AN, Williams J, Berezow J. Substituting whole blood for urine in a bedside pregnancy test. J Emerg Med. 2012 Sep;43(3):478-82. doi: 10.1016/j.jemermed.2011.05.028. Epub 2011 Aug 27. PMID: 21875776.

2. Gottlieb M, Wnek K, Moskoff J, Christian E, Bailitz J. Comparison of Result Times Between Urine and Whole Blood Point-of-care Pregnancy Testing. West J Emerg Med. 2016 Jul;17(4):449-53. doi: 10.5811/westjem.2016.5.29989. Epub 2016 Jun 22. PMID: 27429695;PMCID: PMC4944801.

3. Mullany K, Minneci M, Monjazeb R, C Coiado O. Overview of ectopic pregnancy diagnosis, management, and innovation. Womens Health (Lond). 2023 Jan-Dec;19:17455057231160349. doi: 10.1177/17455057231160349. PMID: 36999281; PMCID:PMC10071153.

4. Images

Діагноз хвороб. Позаматкова вагітність-на УЗД: видно вагітність чи ні, якому терміні можна визначити, як виглядає в яєчнику і в трубах, показує на ранніх термінах (diagnoza.net.ua)

Previous
Previous

10/26/2023 Stroke

Next
Next

10/5/2023 Breech OB